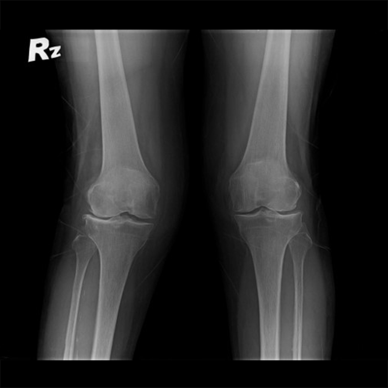
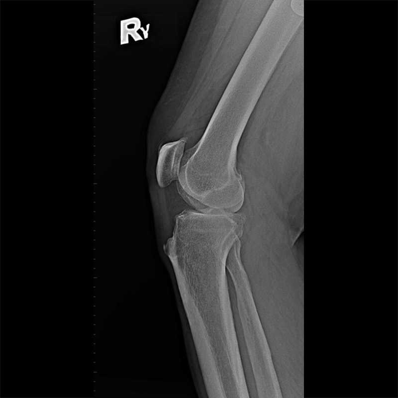
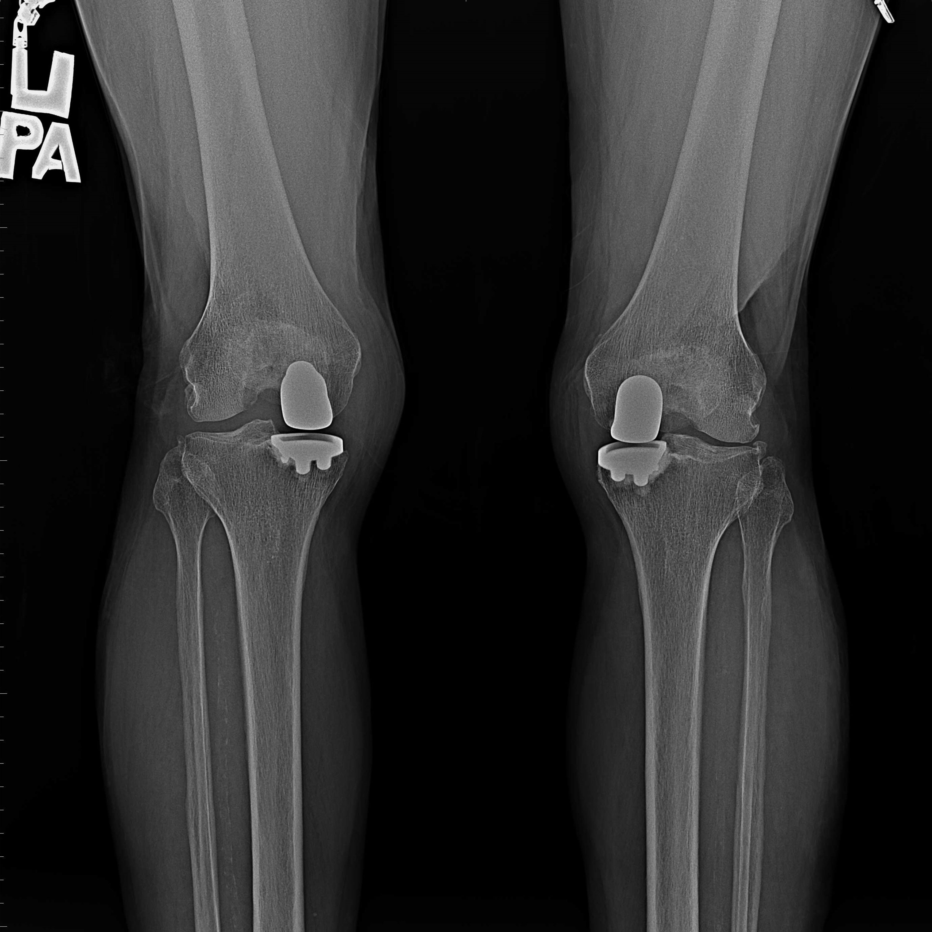
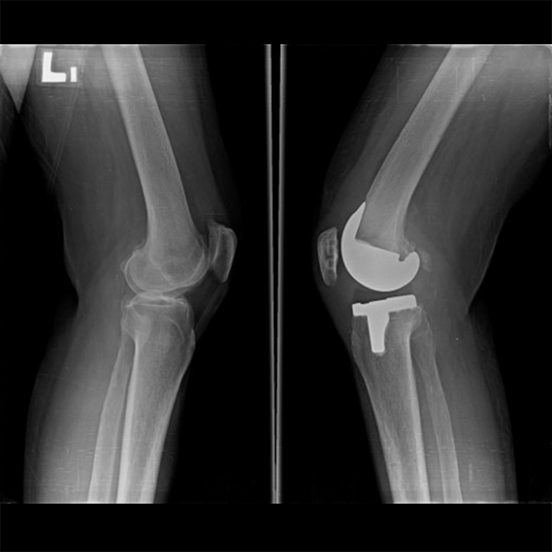
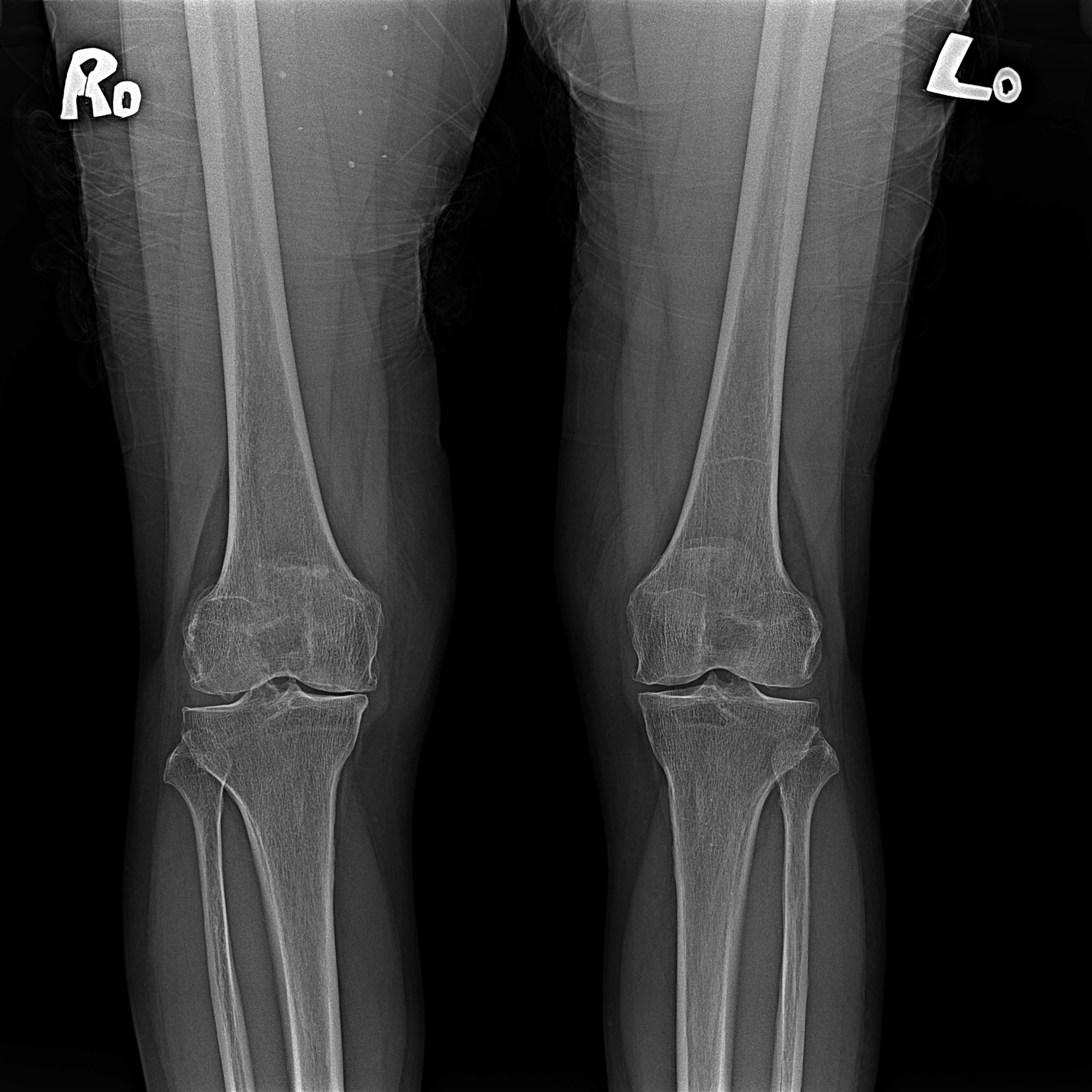
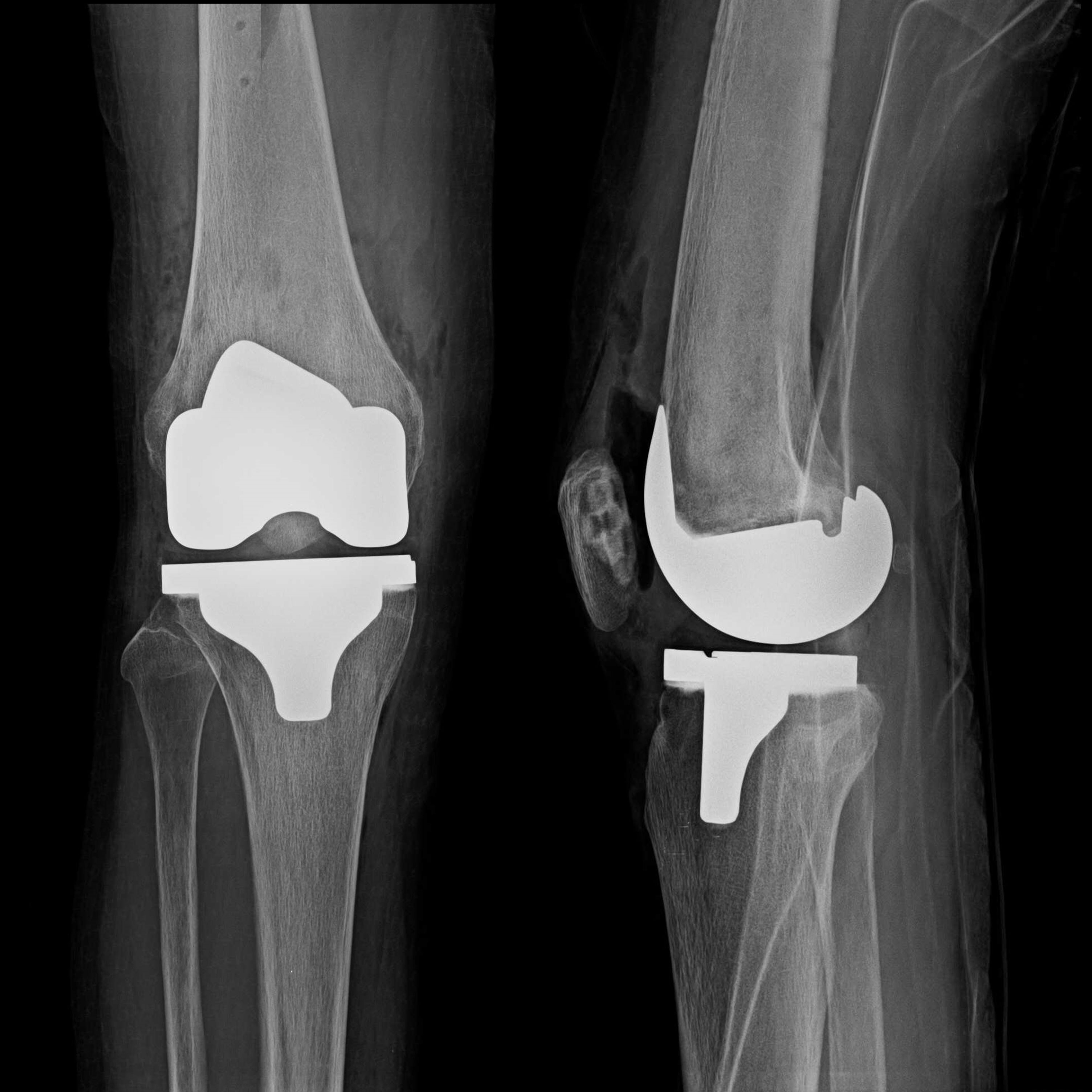
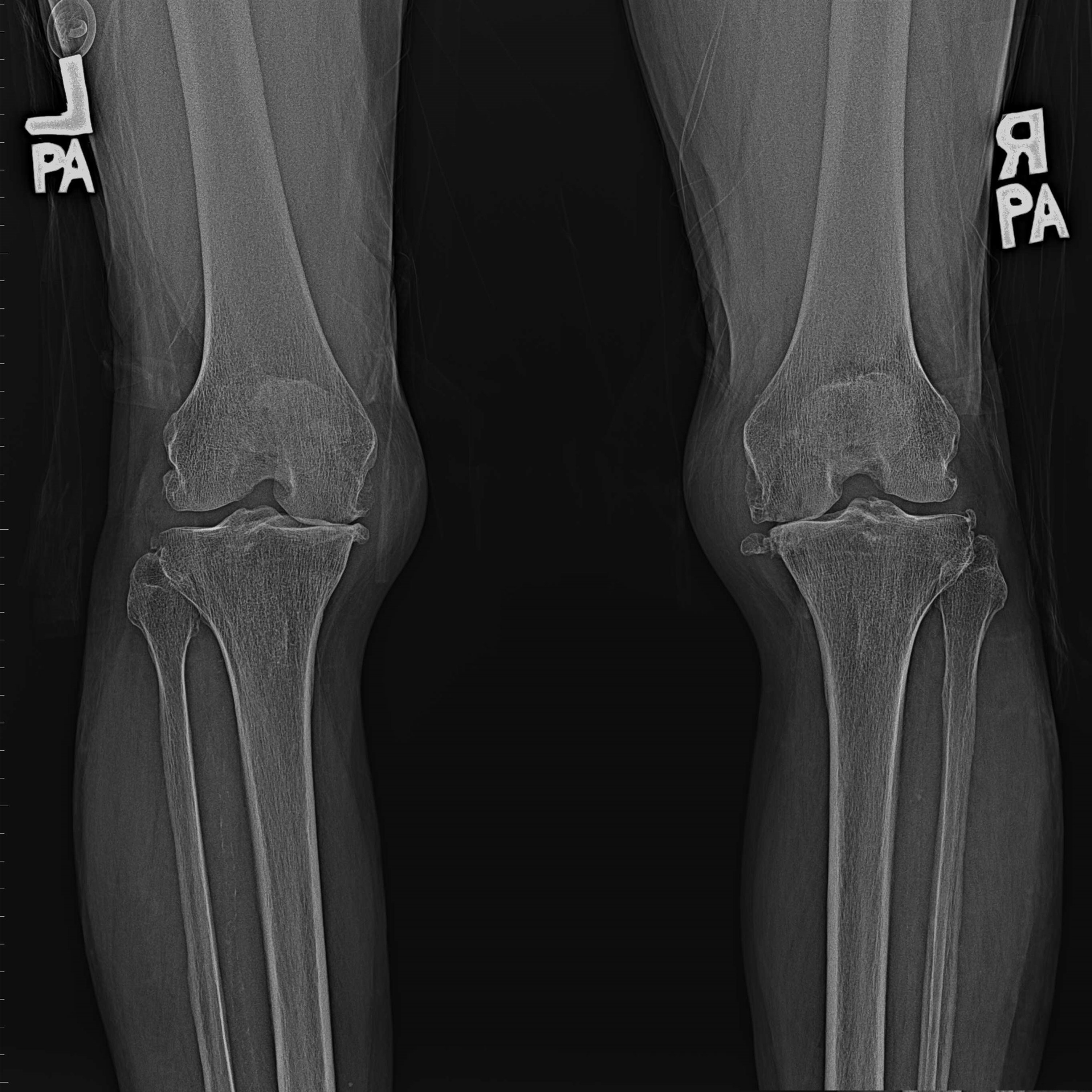
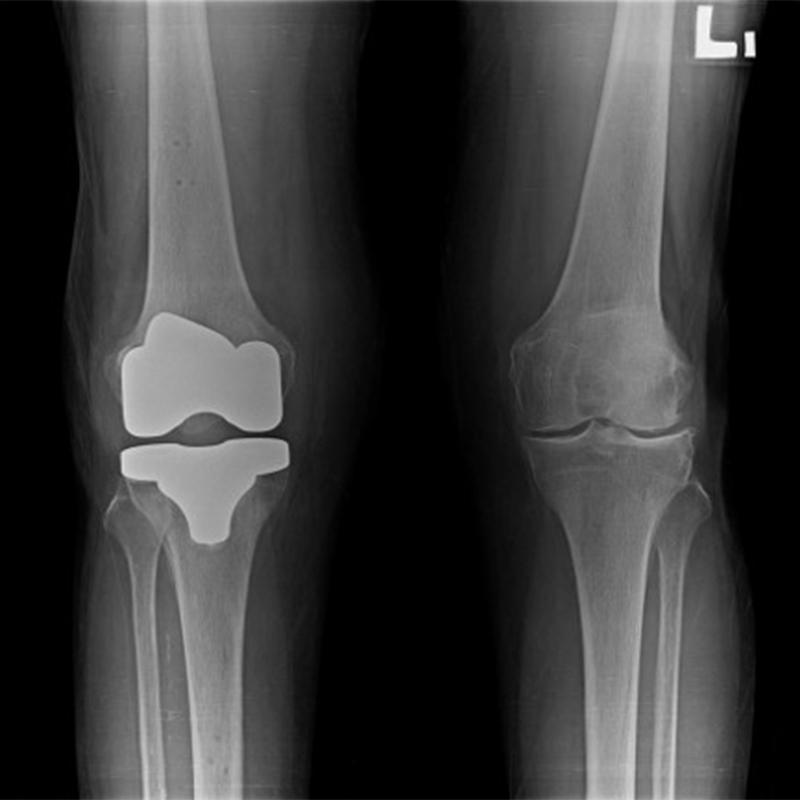
機器手臂手術 首頁 案例分享 膝關節手術 機器手臂手術 蔡女士 78歲 術前 術後 陳女士 70歲 術前 術後 術前 術後 ANGEVINE女士 73歲 術前 術後 U.S.A Mark 73歲 術前 術後 藍女士 78歲 術前 術後