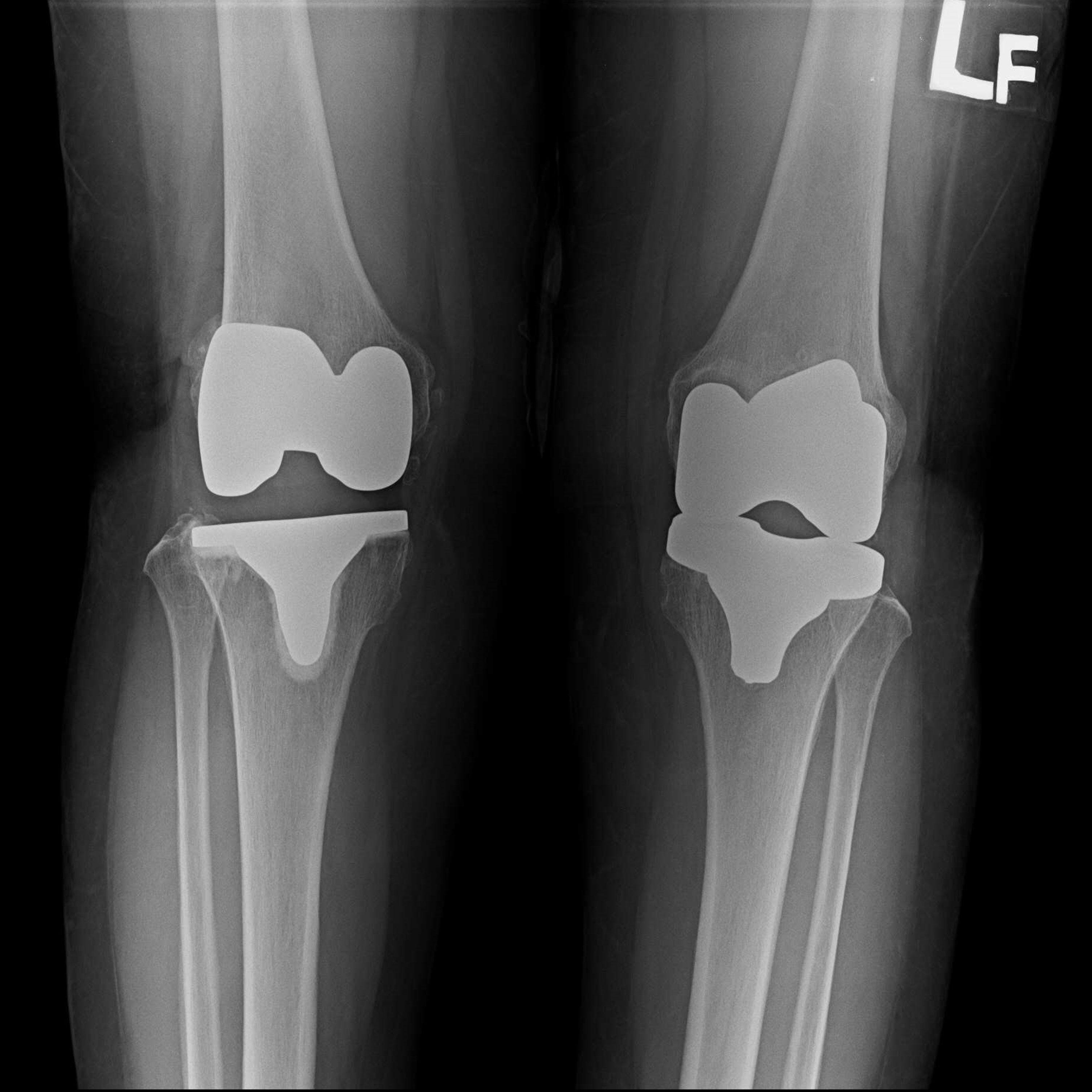
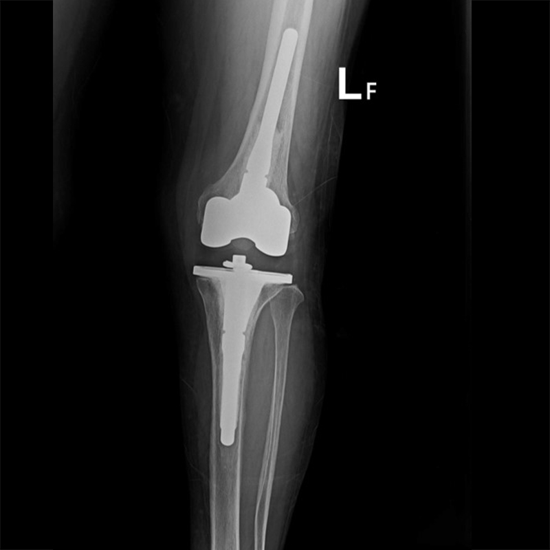
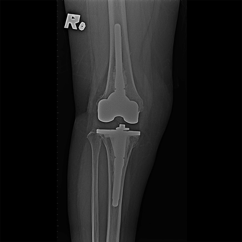
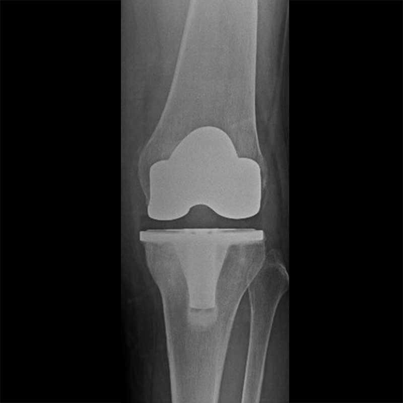
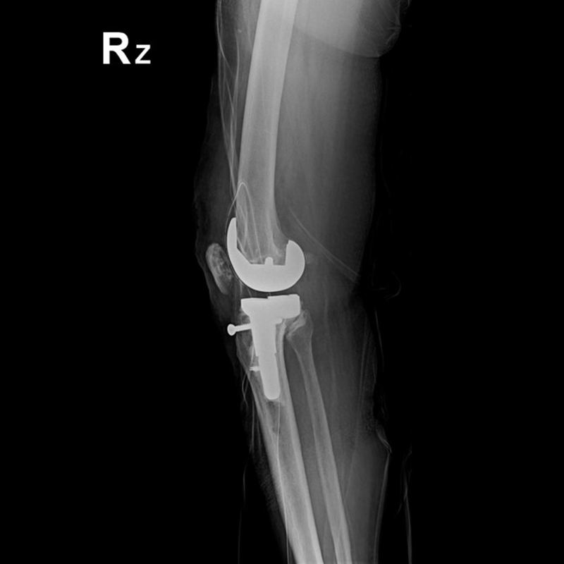
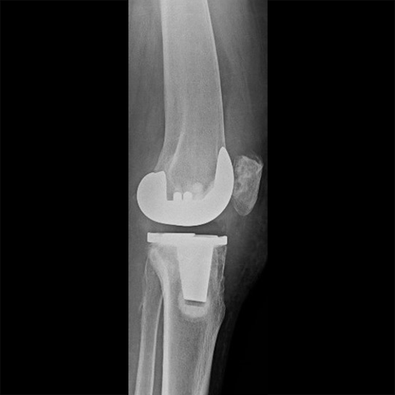
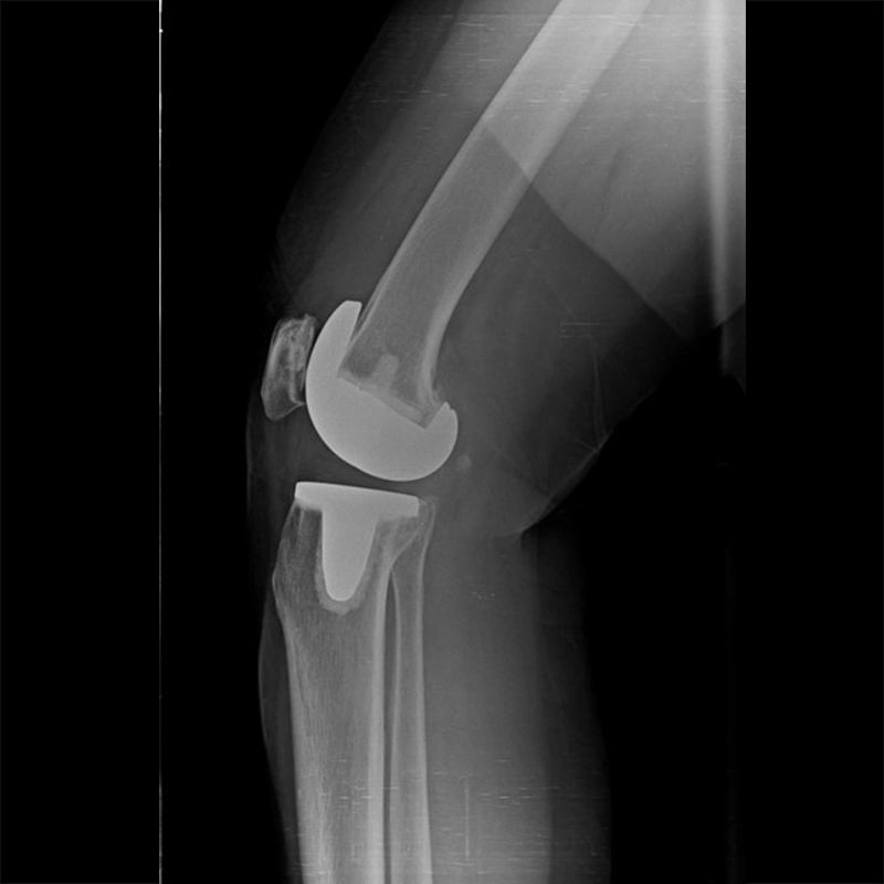
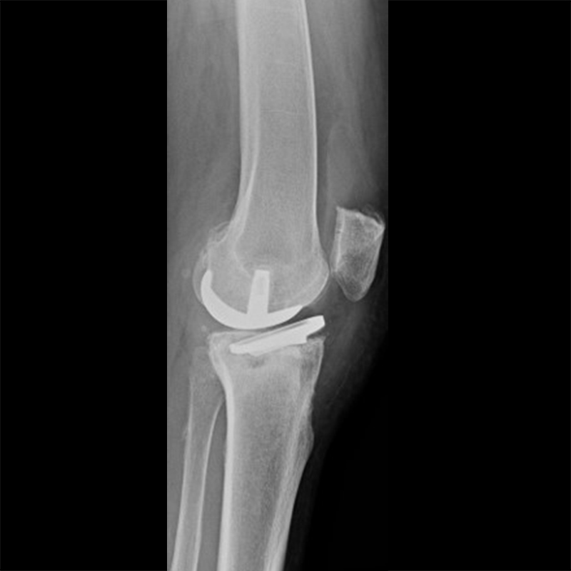
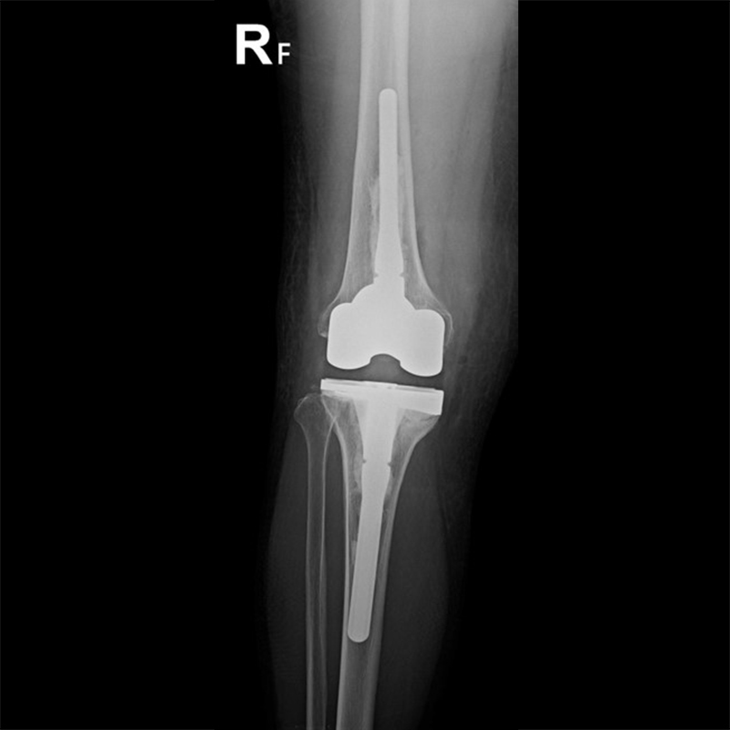
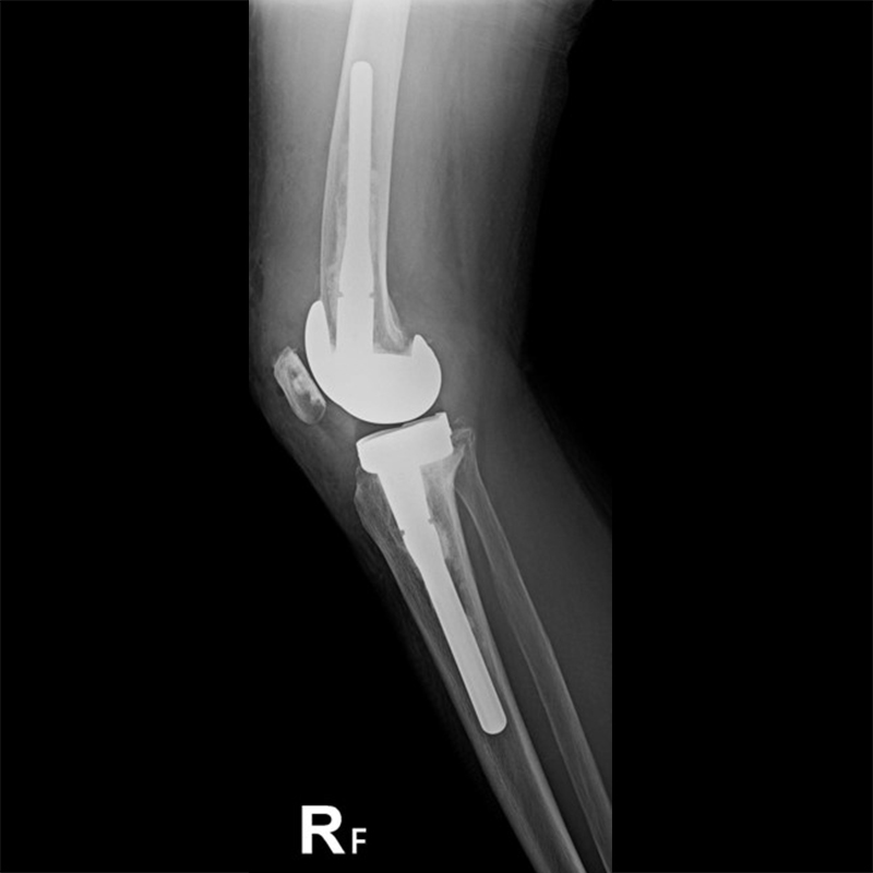
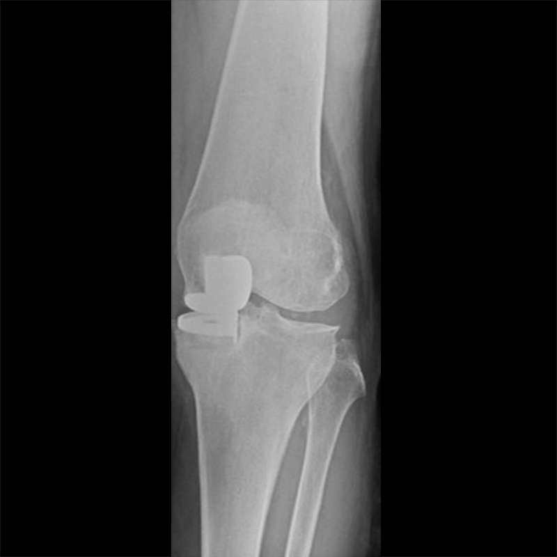
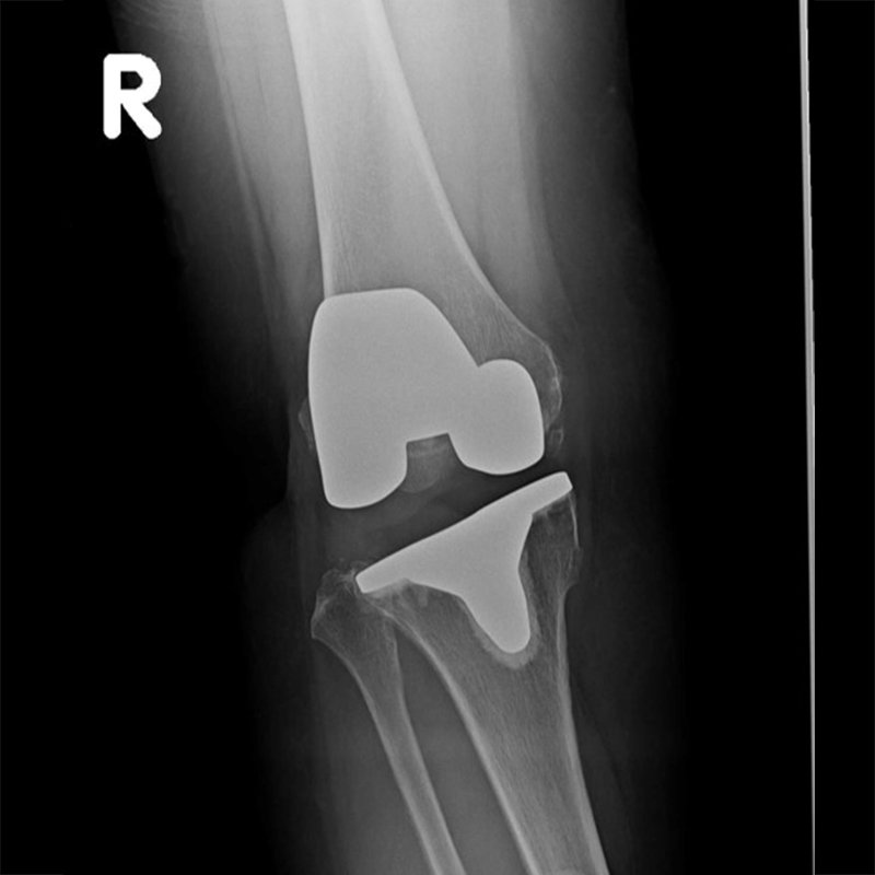
外院失敗本院再置換 首頁 案例分享 膝關節手術 外院失敗本院再置換 蕭女士 69歲 術前 術後 81歲 林女士 術前 術後 蕭女士 69歲 術前 術後 鄒女士 69歲 術前 術後 李女士 74歲 術前 術後 吳女士 71歲 術前 術後 謝女士 65歲 術前 術後