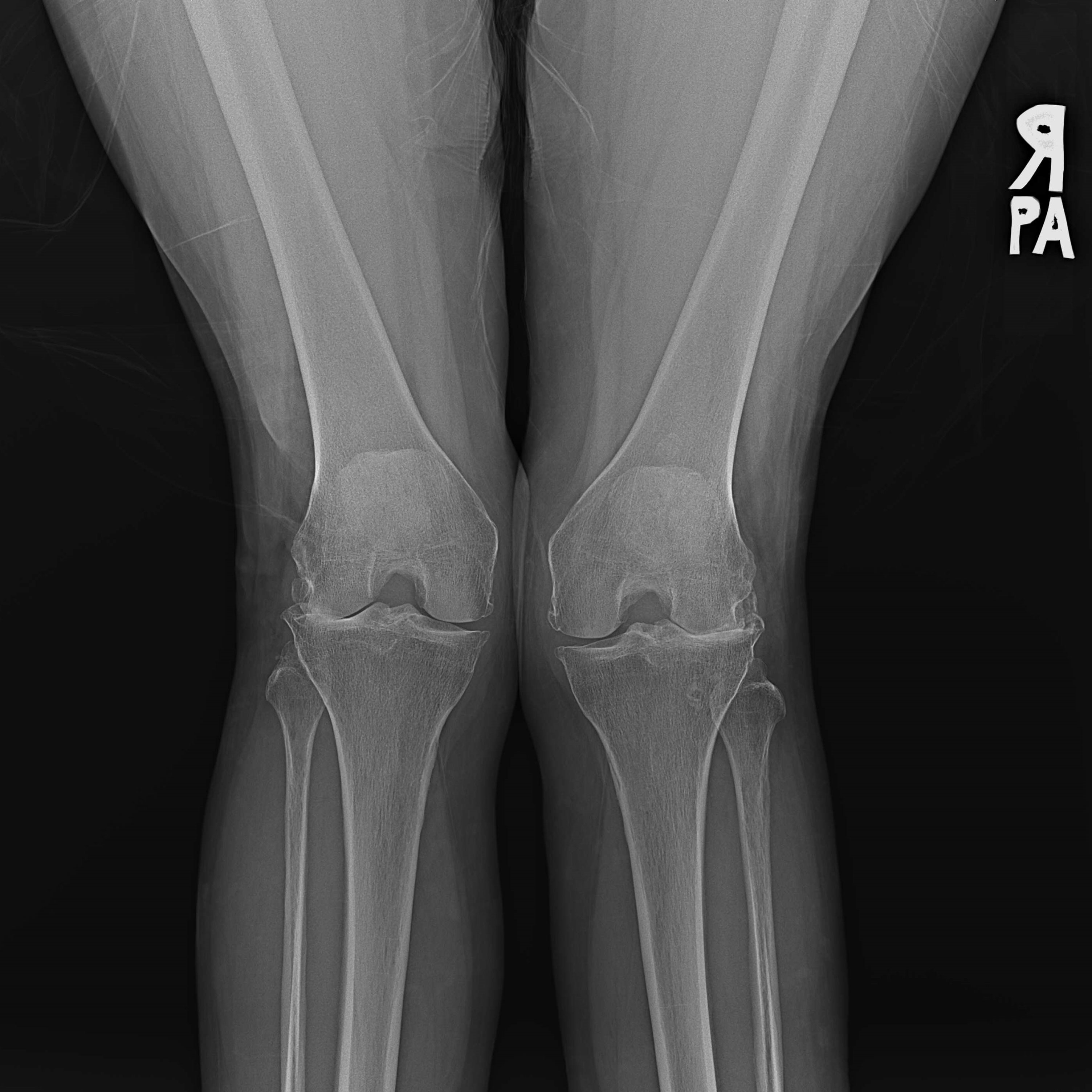
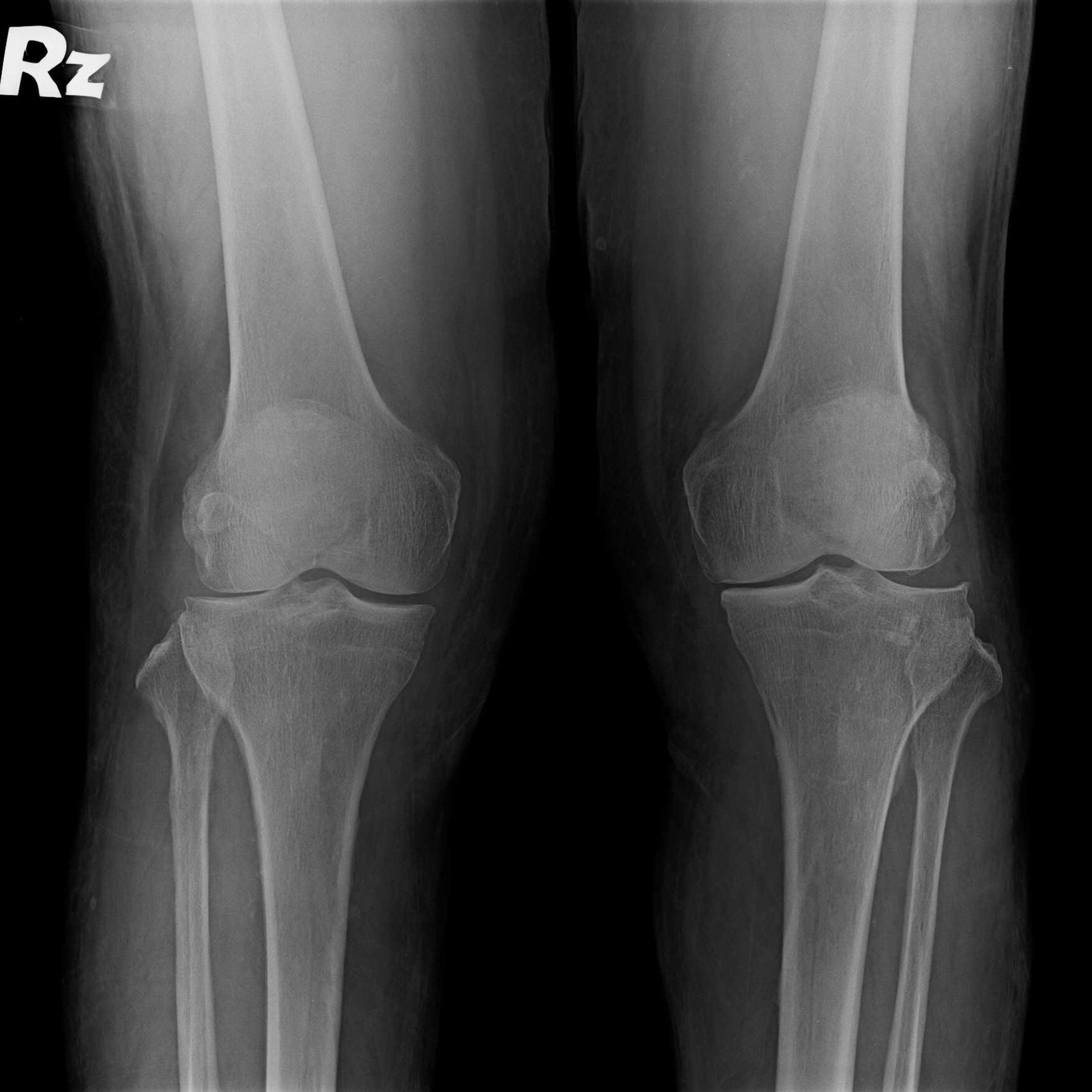
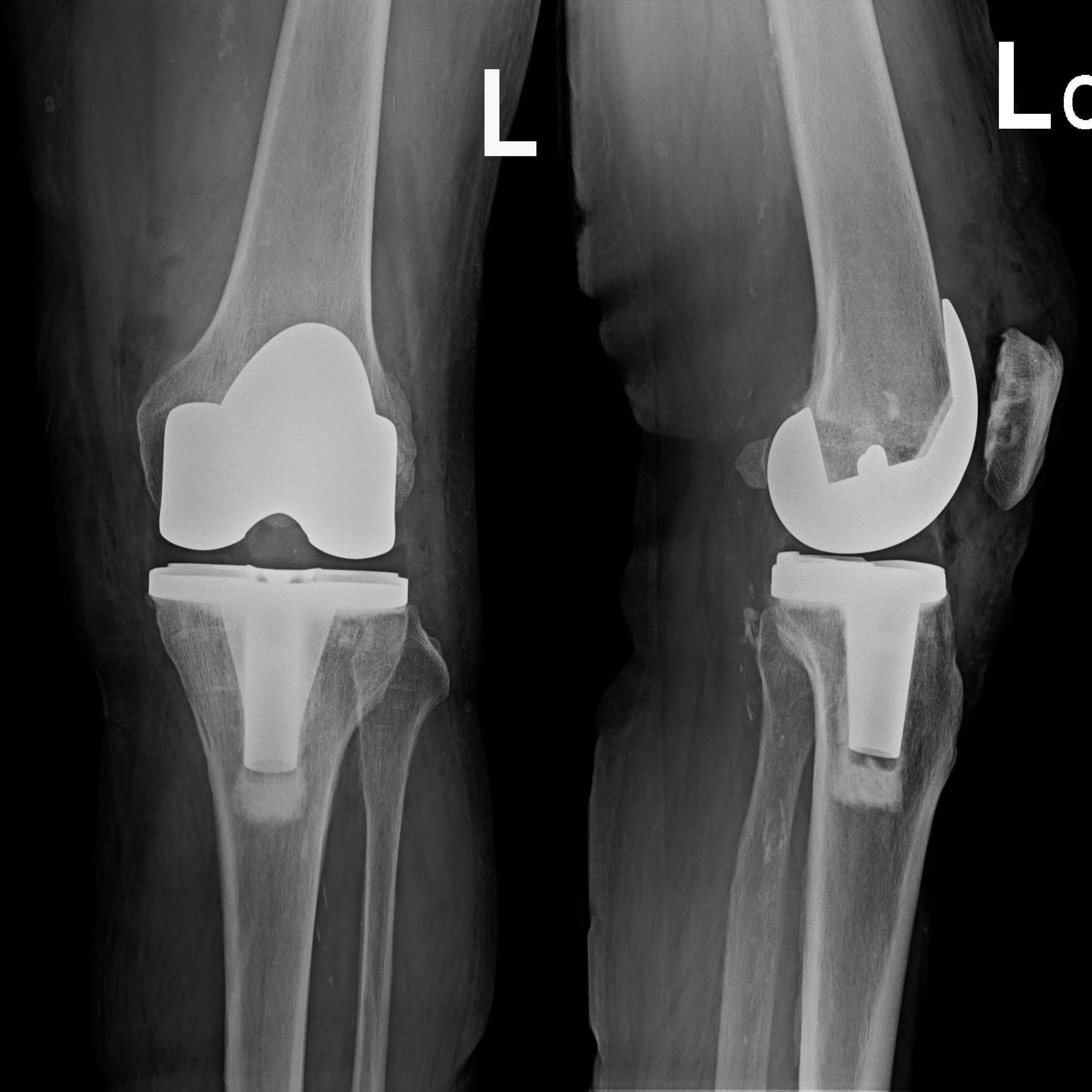
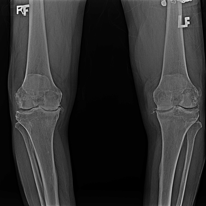
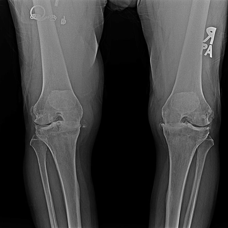
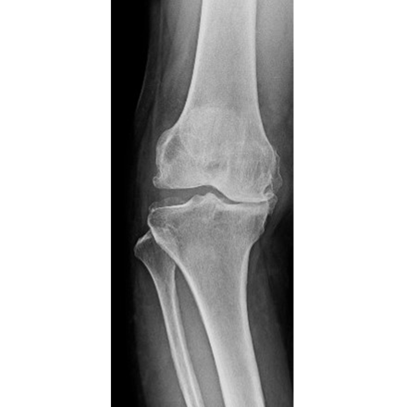
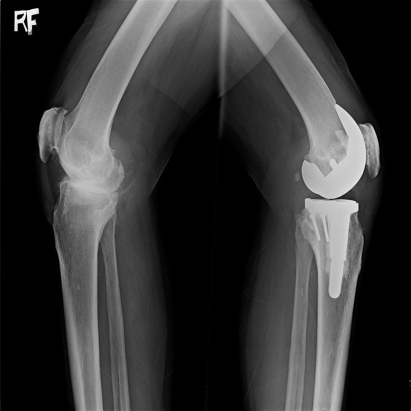
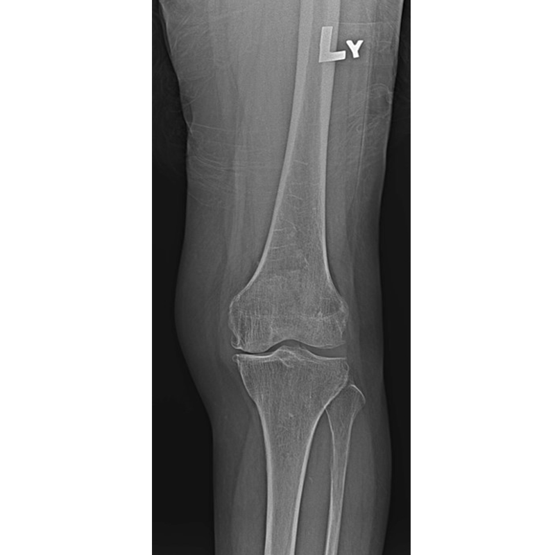
傳統全膝關節置換 首頁 案例分享 膝關節手術 傳統全膝關節置換 江女士 61歲 術前 術後 劉先生 83歲 術前 術後 70歲 柯先生 術前 術後 75歲 黃女士 術前 術後 77歲 羅女士 術前 術後