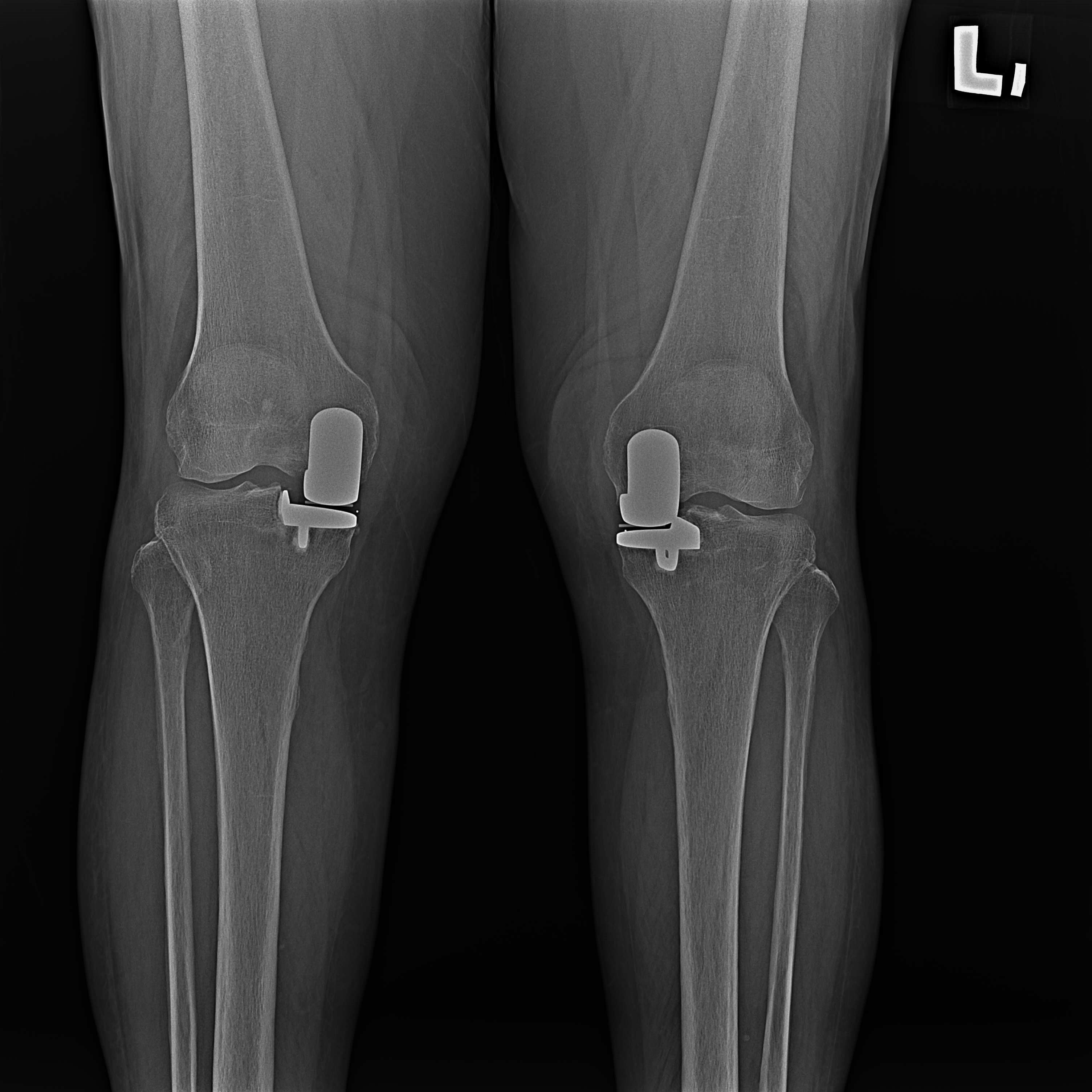
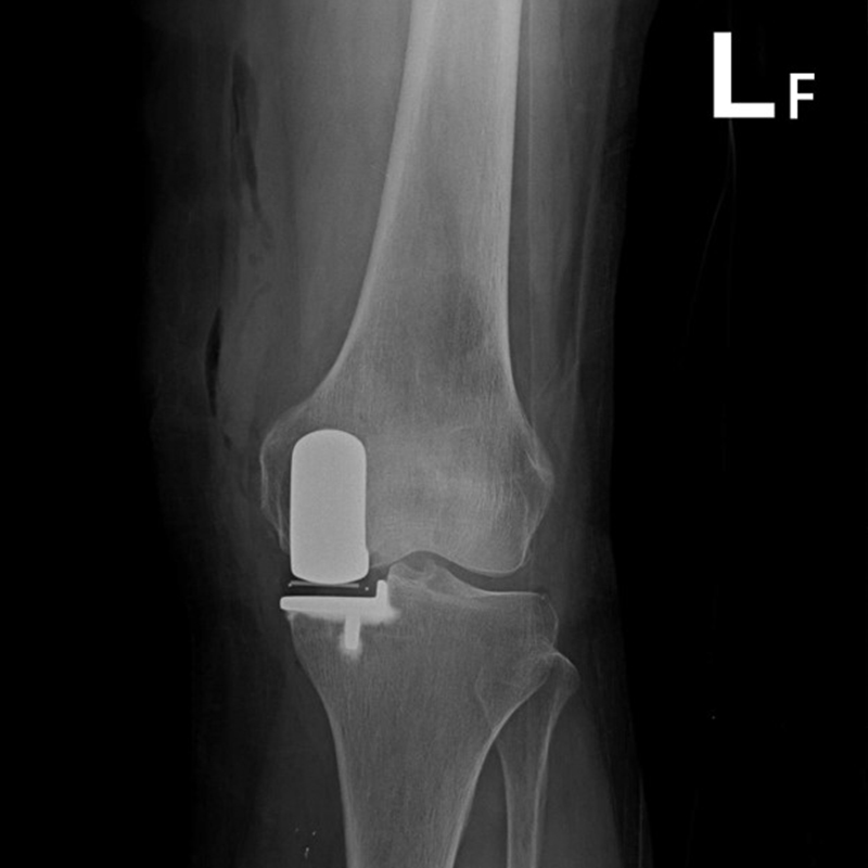
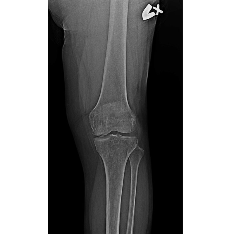
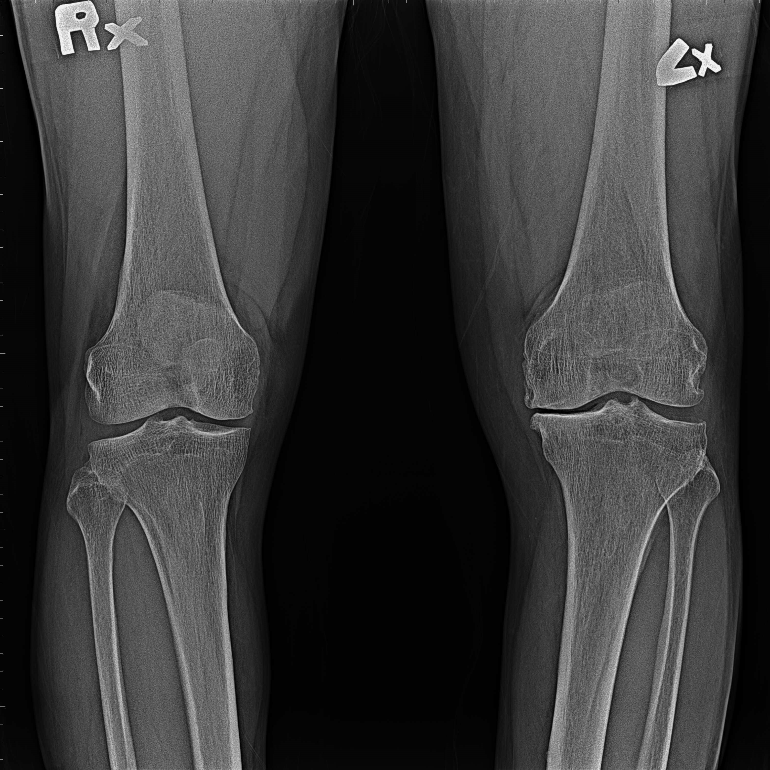
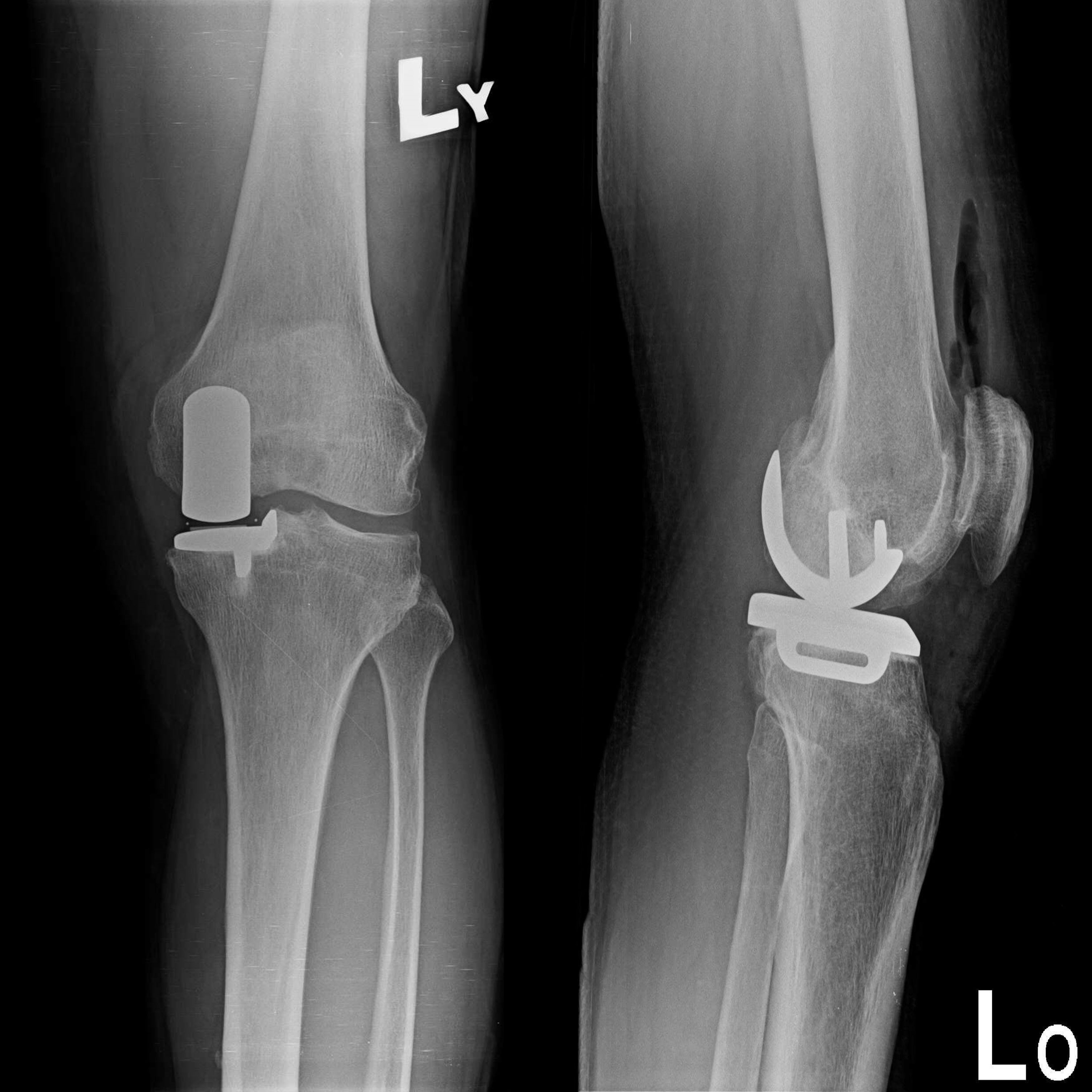
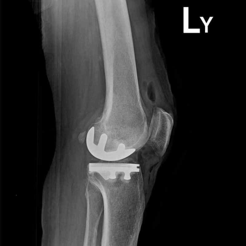
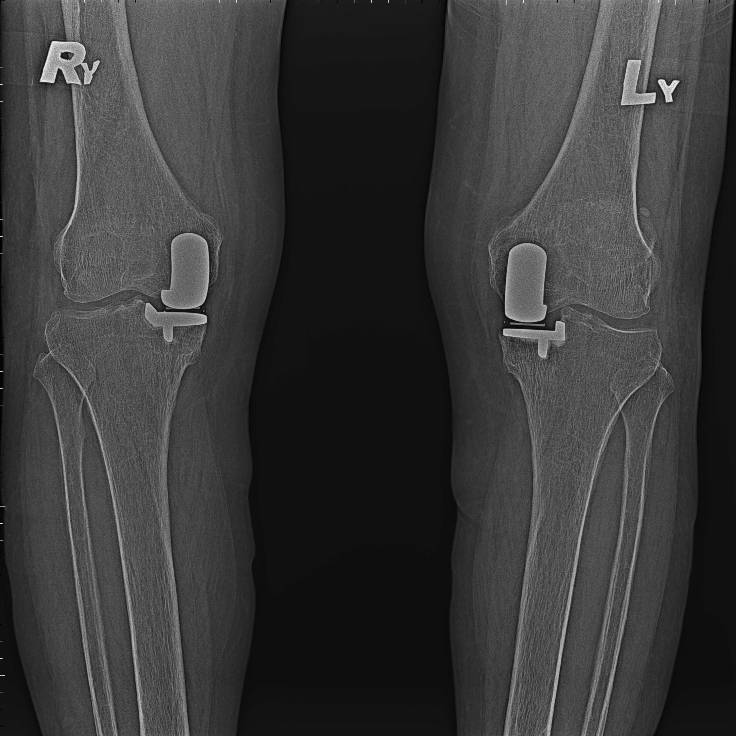
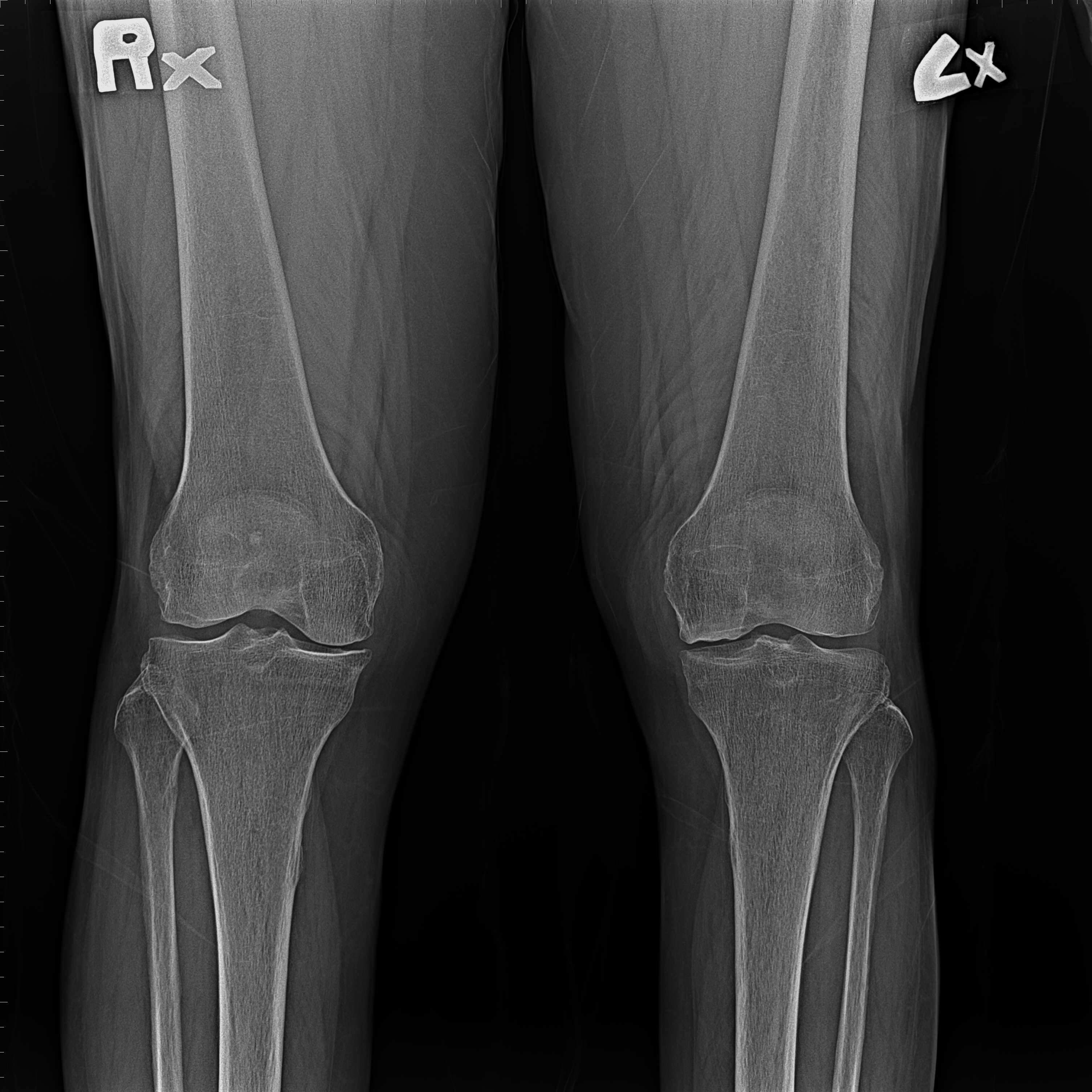
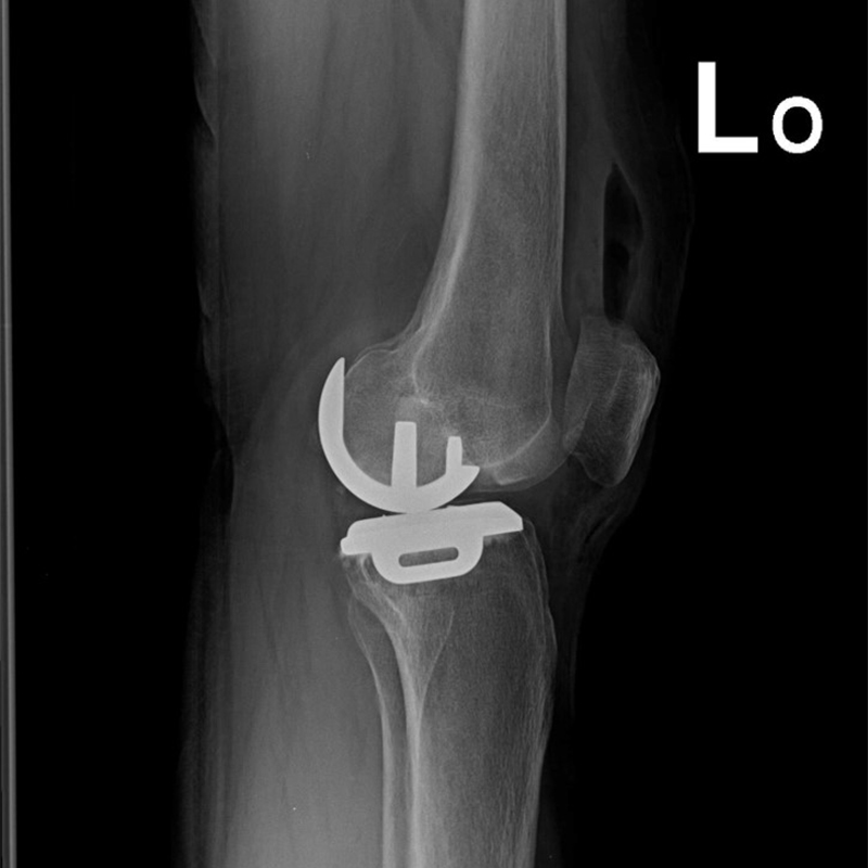
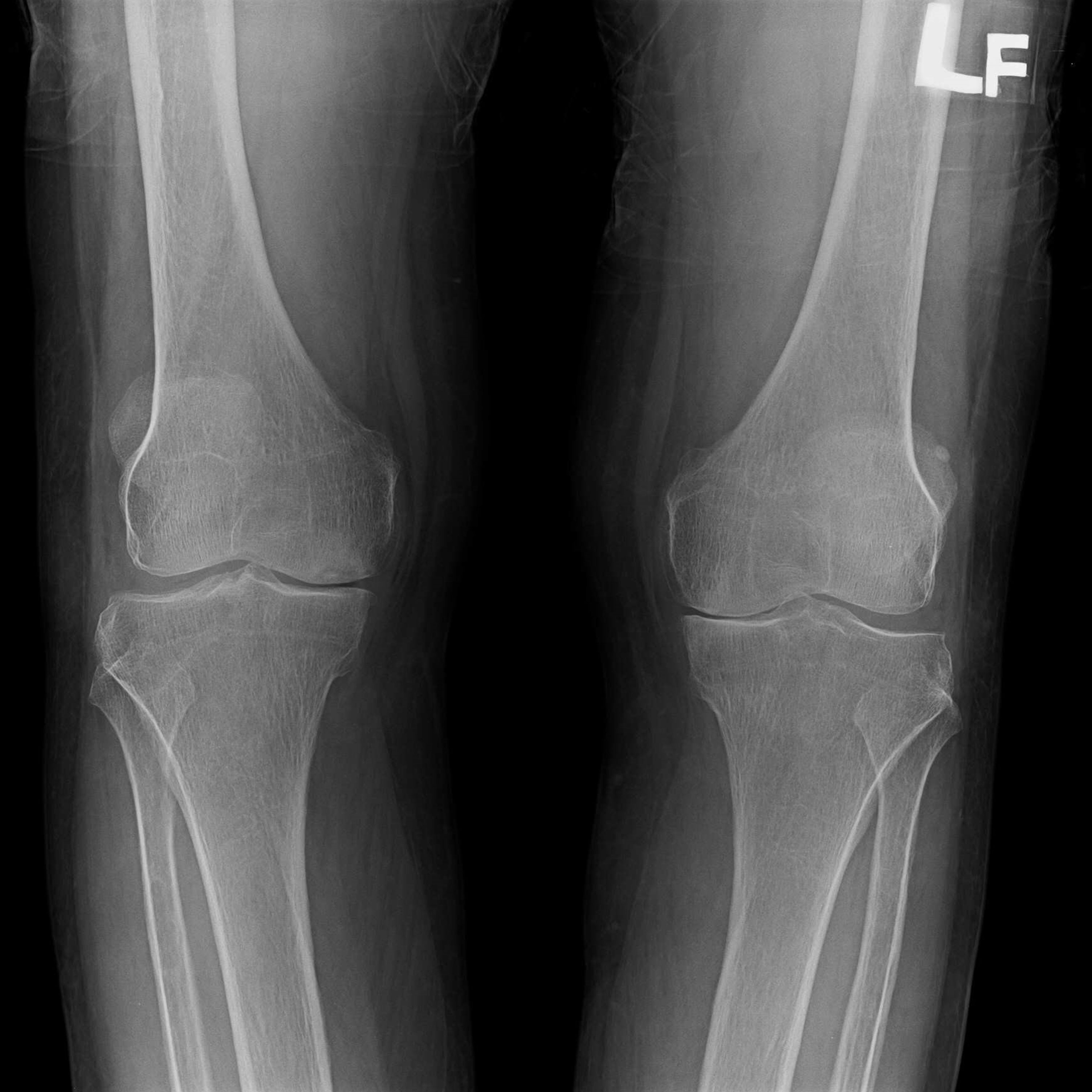
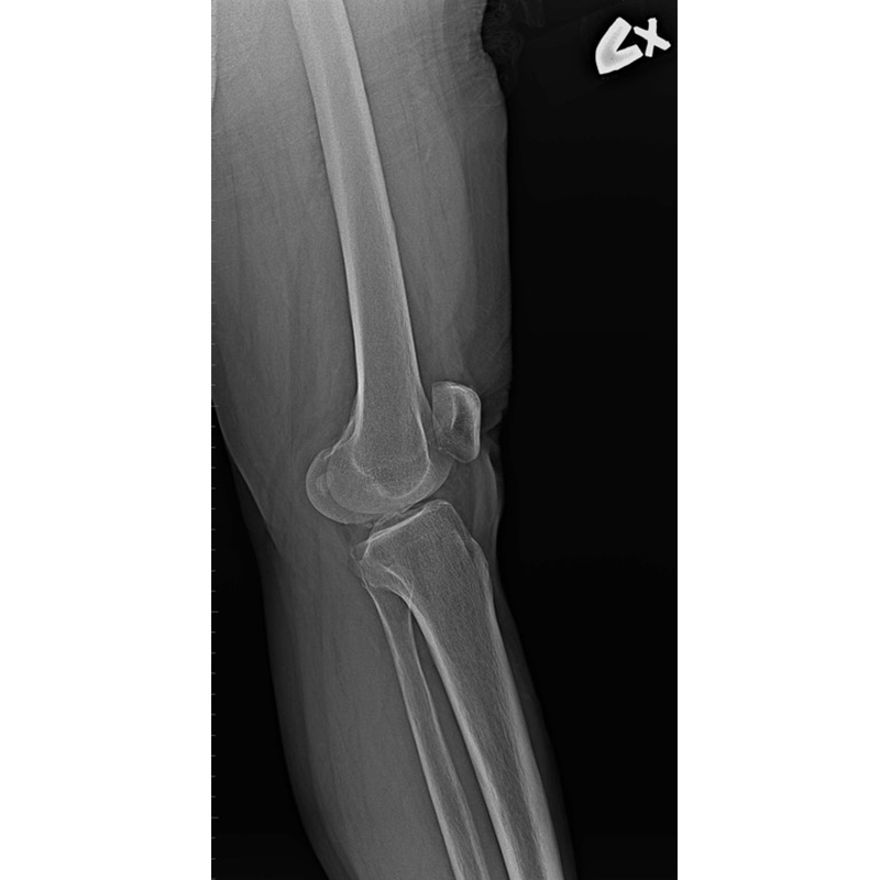
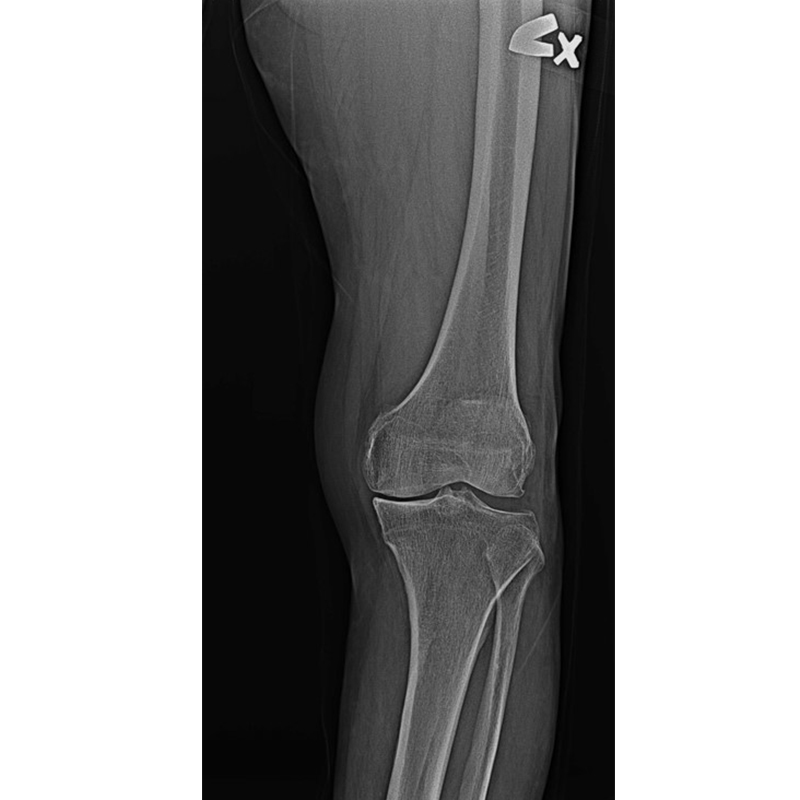
傳統部分膝置換 首頁 案例分享 膝關節手術 傳統部分膝置換 殷女士 65歲 術前 術後 張女士 71歲 術前 術後 蔡女士 74歲 術前 術後 張女士71歲 術前 術後 翁女士70歲 術前 術後 劉女士 80歲 術前 術後