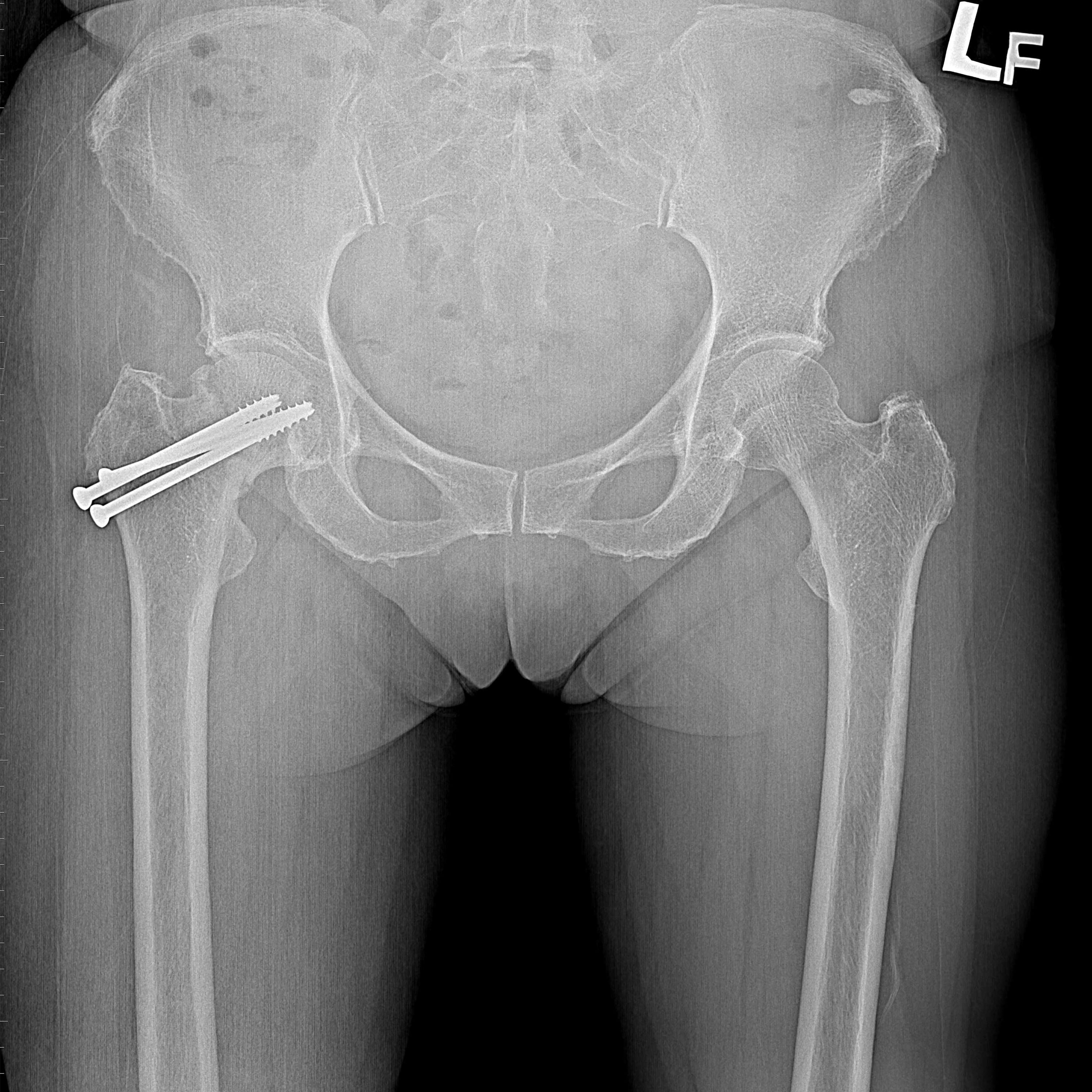
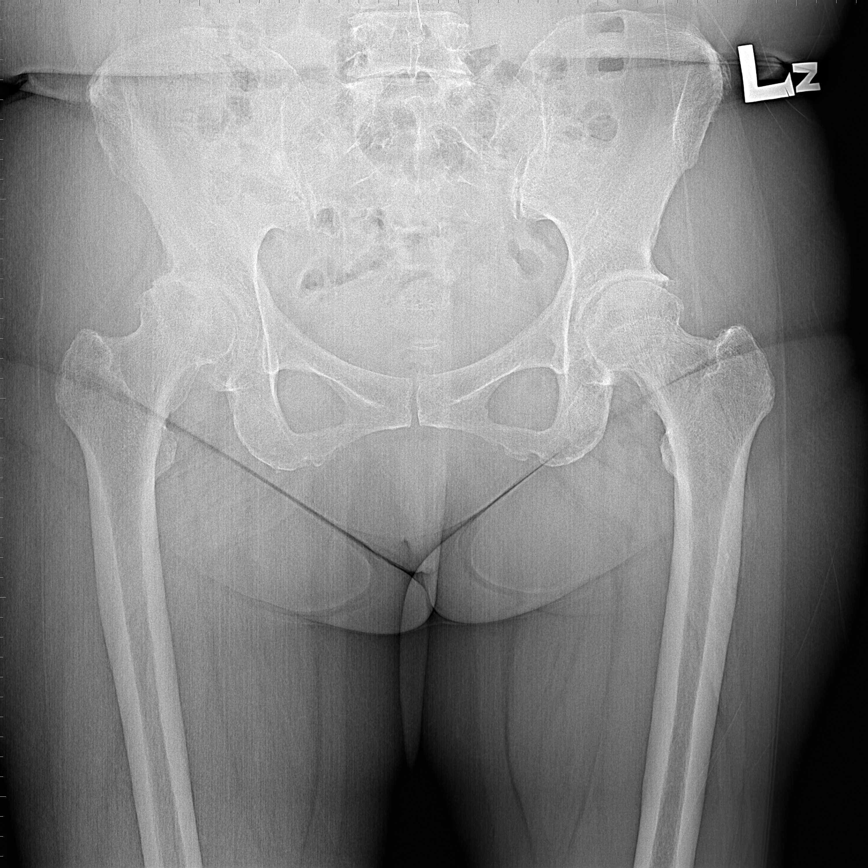
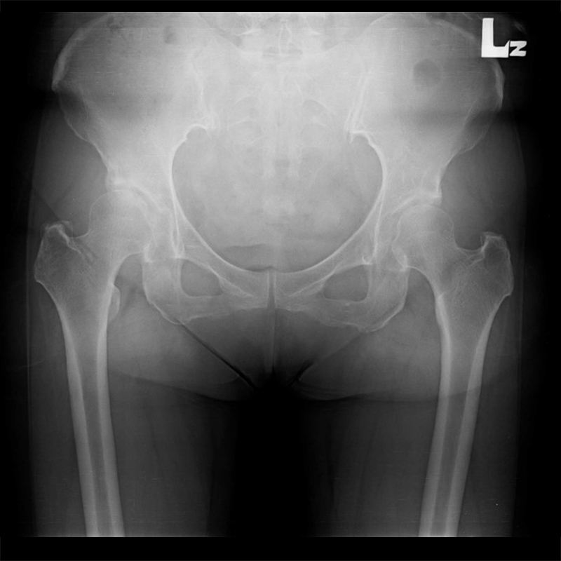
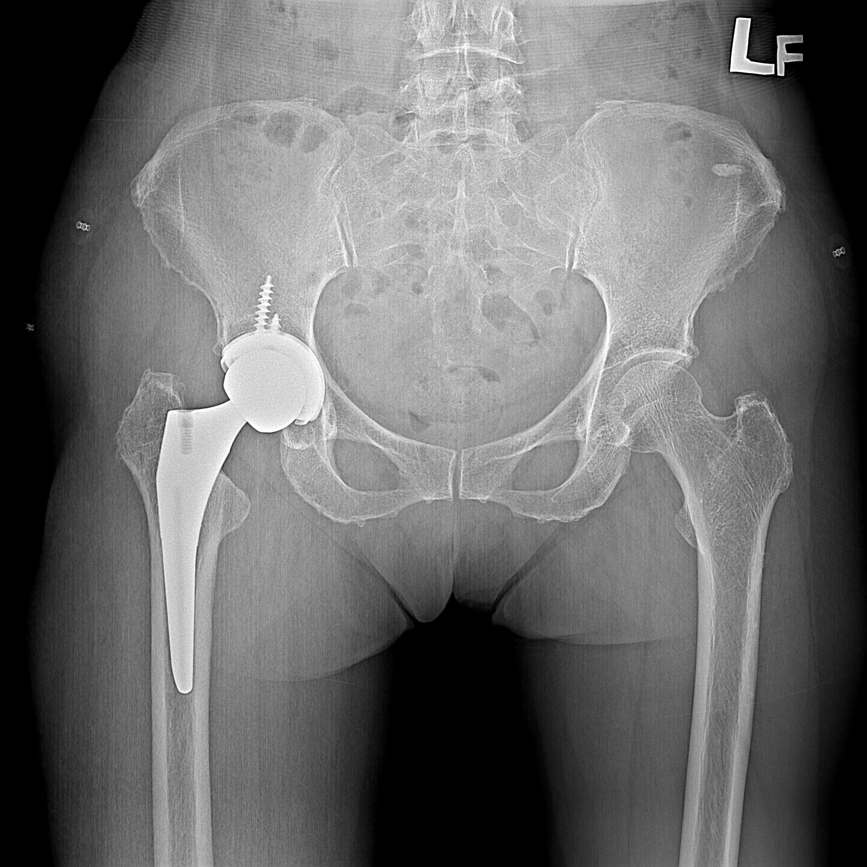
機器手臂手術 首頁 案例分享 髖關節手術 機器手臂手術 72歲 楊女士 退化性關節炎 術前 術後 60歲 彭先生骨股頭壞死 術前 術後 53歲 王女士退化性關節炎(DDH先天發育不全 CROWE TYPE 2) 術前 術後 83歲林女士退化性關節炎 術前 術後 83歲林女士退化性關節炎 術前 術後 楊女士 70歲 術前 術後 蔡女士 60歲 術前 術後