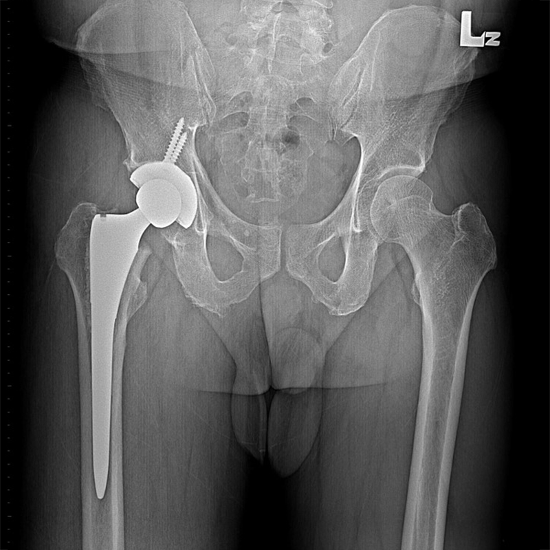
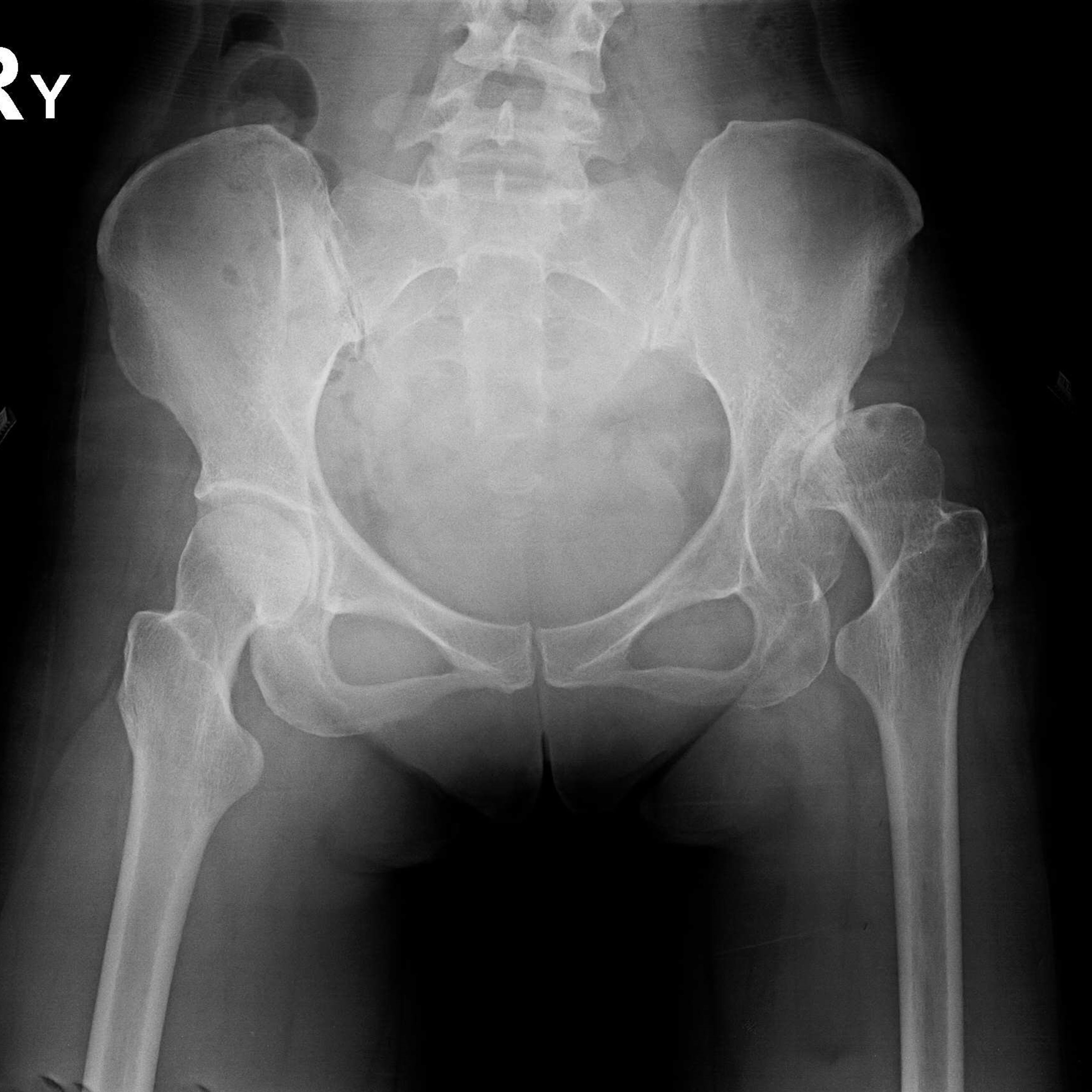
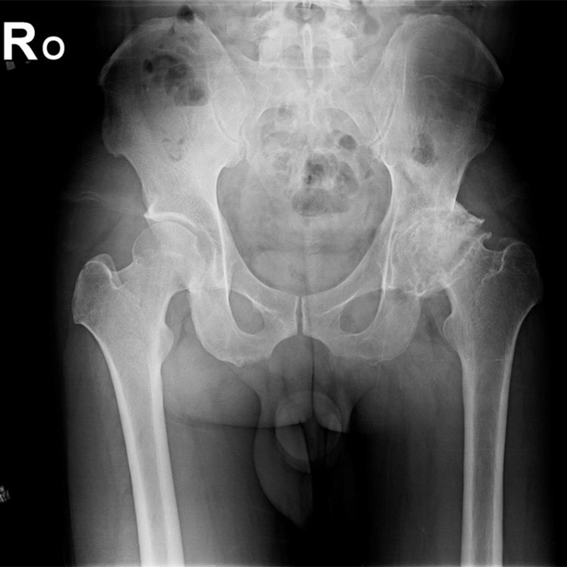
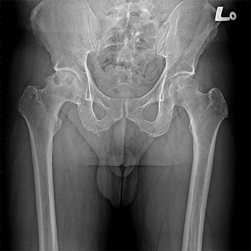
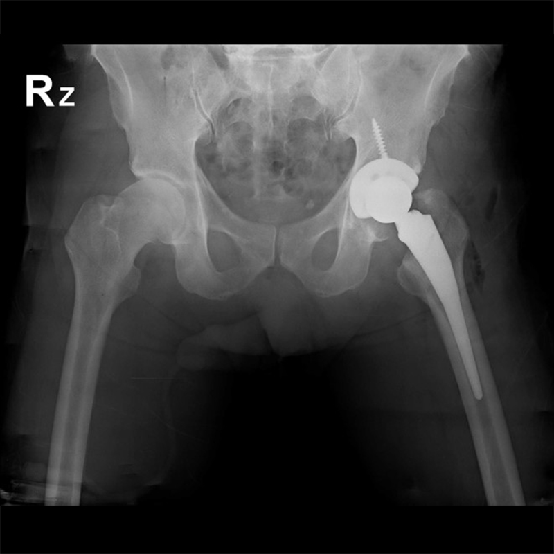
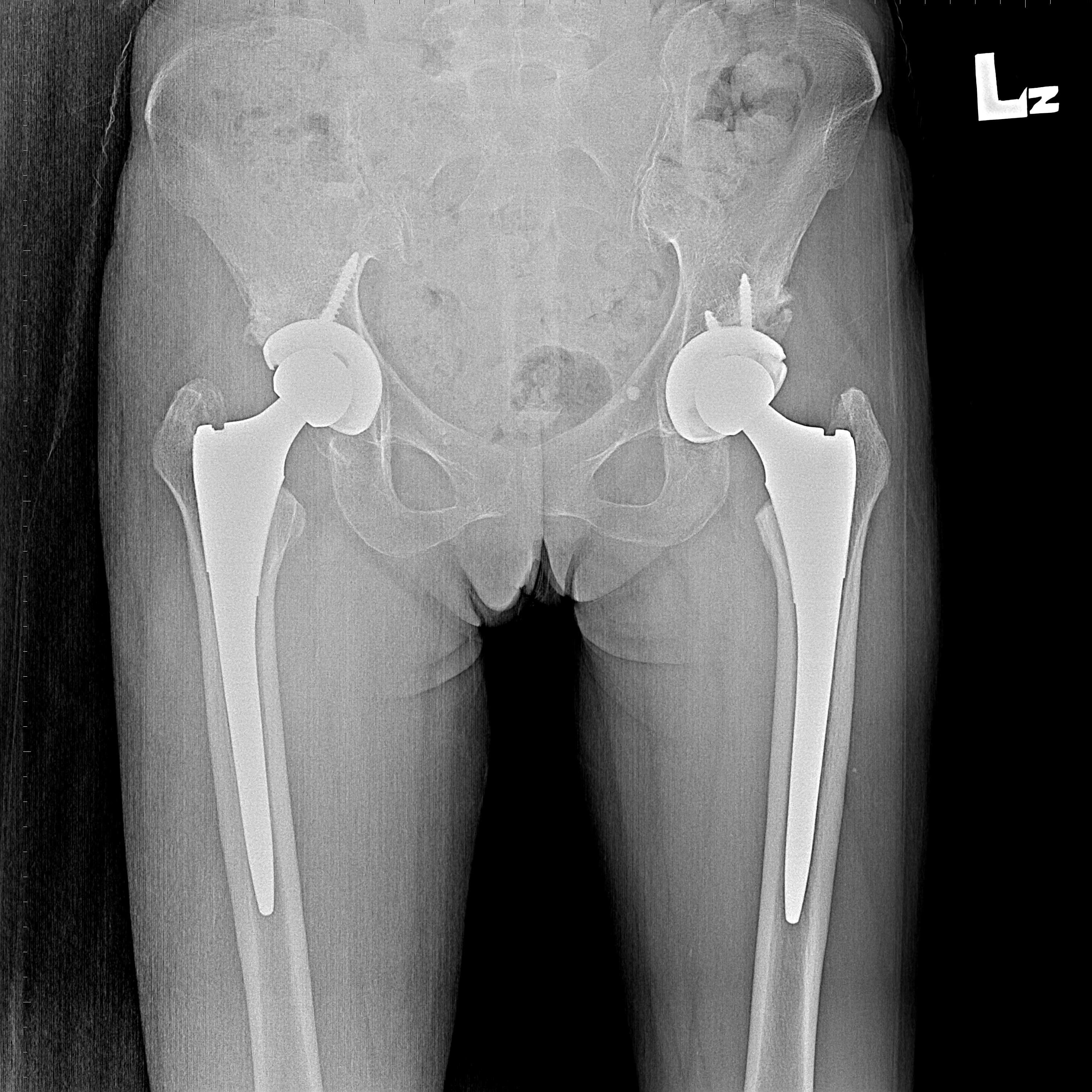
傳統髖關節置換 首頁 案例分享 髖關節手術 傳統髖關節置換 54歲蔡先生退化性關節炎 術前 術後 張女士 51歲 退化性關節炎(DDH先天發育不全 CROWE TYPE 2) 術前 術後 38歲林先生 退化性關節炎 術前 術後 72歲謝女士 退化性關節炎 術前 術後 71歲 謬女士 骨股頭壞死 術前 術後 50歲 郭先生骨股頭壞死 術前 術後 80歲 盧先生骨股頭壞死 術前 術後 林先生 37歲 術前 術後 邱女士 51歲 術前 術後 張女士 50歲 術前 術後